
Wednesday, December 23, 2009
Tuesday, December 22, 2009
Friday, December 11, 2009
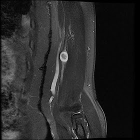
Peroneus Quartus



Peroneus quartus muscle and tendon.
Prevalence: 12-22%
Originates at the distal lateral portion of the fibula and descends medial and posterior to the peroneal tendons. 
Insertion is variable and includes the retrotrochlear eminence of the calcaneus, the phalanx or the metatarsal bone of the fifth toe, the peroneal tendons, the lateral retinaculum of the ankle, and the cuboid bone.
Also: incidental Achilles Tendinosis
Thursday, December 3, 2009
Thursday, November 19, 2009
Anconeus Hyperintensity asspciated with Chronic Lateral Epicondylitis




"CONCLUSION. Increased signal intensity of the anconeus muscle on MR images in
patients with chronic lateral epicondylitis suggests Involvement of the muscle.
Increased signal intensity is seen with edema, granulation tissue, and Inflammation,
which may explain the findings in this study. Our results are Inconclusive as to
whether this increased signal intensity contributes to the chronicity of patient symptomatology
or is associated with abnormal elbow motion because of the symptoms."
patients with chronic lateral epicondylitis suggests Involvement of the muscle.
Increased signal intensity is seen with edema, granulation tissue, and Inflammation,
which may explain the findings in this study. Our results are Inconclusive as to
whether this increased signal intensity contributes to the chronicity of patient symptomatology
or is associated with abnormal elbow motion because of the symptoms."
AJR 161, November 1993, p1019












































